1986 yılında İngiltere’de ortaya çıkıp tüm Avrupa’yı sarsan “deli dana hastalığı” (BSE), yıllar sonra Türkiye’de yeniden gündemde.
Ankara’da bir hastada görülen deli dana ön teşhisinin ardından, Bolu’da da ikinci bir vakanın doğrulanması endişeleri artırdı.
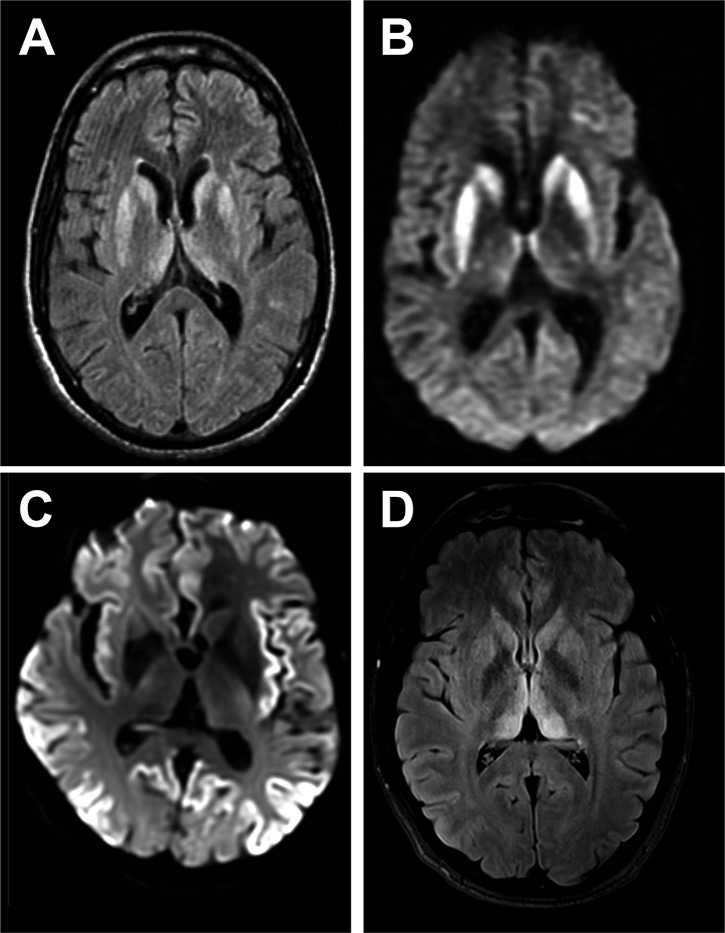
Türkiye Gazetesi’nin haberine göre, Ankara Bilkent Şehir Hastanesi yoğun bakım ünitesinde tedavi gören bir hastada “deli dana” şüphesi üzerine yapılan testler pozitif çıktı. Benzer şekilde, Bolu İzzet Baysal Eğitim ve Araştırma Hastanesi’nde nörolojik şikayetlerle tedavi gören bir kadın hastada da yapılan analizlerde “deli dana testi” pozitif sonuç verdi.
Uzmanlardan Kritik Uyarı: “Yeni Vakalar Görülebilir”
Enfeksiyon Hastalıkları Uzmanı Prof. Dr. Bülent Ertuğrul, iki vakanın görülmesinin ardından olası yeni vakalara karşı dikkatli olunması gerektiğini belirterek şu ifadeleri kullandı:
“Deli dana enfeksiyonu, hastalıklı hayvanların etleri veya özellikle sinir dokularının tüketilmesiyle bulaşır.
Hastalık, bulaştıktan yıllar sonra — bazen 15-20 yıl, hatta 30 yıl sonra — ortaya çıkar.
Bu nedenle görülen her vaka, geçmiş dönemdeki bulaşların bir yansıması olabilir.”
Prof. Dr. Ertuğrul, hastalığın prion adı verilen anormal proteinlerin beyinde birikmesiyle oluştuğunu, bu durumun beyin dokusunun süngerimsi hale gelmesine (BSE) yol açtığını belirtti.
Deli Dana Hastalığı Nedir?
“Deli dana hastalığı” veya bilimsel adıyla Bovine Spongiform Encephalopathy (BSE), ilk olarak sığırlarda görülen ölümcül bir beyin hastalığıdır.
İnsanlarda görülen formu variant Creutzfeldt-Jakob hastalığı (vCJD) olarak adlandırılır.
Bu hastalık, genellikle:
-
Hastalıklı hayvan etlerinin veya sakatatlarının tüketilmesiyle,
-
Vücut sıvılarıyla temas sonucu,
-
Nadiren cerrahi ekipmanlar veya doku nakilleri yoluyla bulaşabilir.
Belirtileri Nelerdir?
Hastalığın erken belirtileri psikolojik semptomlarla başlar:
-
Kafa karışıklığı, oryantasyon bozukluğu, halüsinasyon,
-
Uyku düzensizliği, saldırganlık, ani öfke patlamaları.
İlerleyen evrelerde:
-
Yürüme güçlüğü, kas kontrolü kaybı, konuşma bozukluğu,
-
Solunum ve kalp fonksiyonlarında bozulma,
-
Komaya kadar giden ağır nörolojik tablolara neden olabilir.
Ne yazık ki hastalığın kesin bir tedavisi bulunmamaktadır.
Osmaniye İçin Risk Var mı?
Türkiye genelinde görülen bu vakalar üzerine, Osmaniye ve çevresinde yaşayan vatandaşların endişeleri arttı.
Uzmanlar, şu an için Osmaniye’de herhangi bir vaka bildirilmediğini ancak gıda güvenliğine dikkat edilmesi gerektiğini vurguluyor.
Veteriner kontrolünden geçmiş, denetimli et ve sakatat tüketimi, olası bulaş riskini en aza indiriyor.
Ayrıca yerel yönetimlerin ve Tarım Bakanlığı’nın, hayvan ithalatı ve kesim süreçlerinde denetimlerini artırması bekleniyor.
Prof. Dr. Ertuğrul’un da vurguladığı gibi:
“Yeni vakalar görülebilir; ancak bu durum ülke çapında panik yaratmamalı. Denetimler, hastalığın yayılmasını engellemede en etkili araçtır.”






